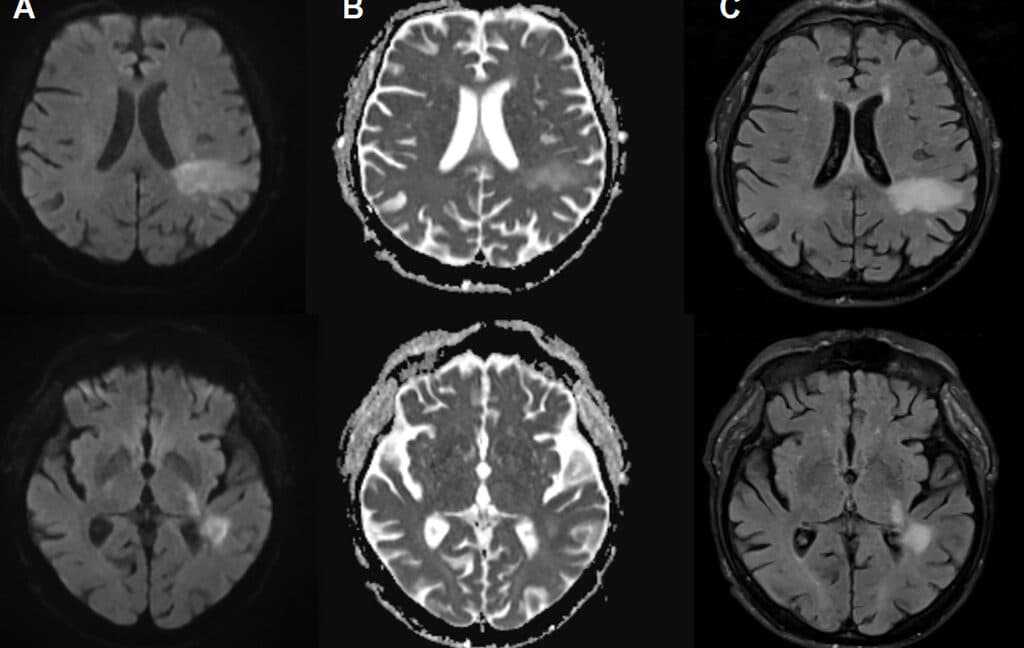
Fatal brain infection was thought to be from profound immune suppression. Not anymore.
โกKey InsightsAI analyzingโฆ
Beth Mole
๐ก
Tags:#technology#ars-technica
Found this useful? Share it!
Read the Full Story
Continue reading on Ars Technica
Related Stories
๐ป
๐ปTechnology
British cryptographer Adam Back denies NYT report that he is Bitcoin creator Satoshi Nakamoto
1 day ago

๐ปTechnology
Amazonโs Smart Thermostat can help lower your energy bills, and itโs down to $62
1 day ago
๐ปTechnology
Greece will ban all kids under 15 fromย using social media
1 day ago
๐ป
๐ปTechnology
Hackers steal and leak sensitive LAPD police documents
1 day ago
